富士フイルムHDが出直り強める、乳腺検診検査器機の新事業や中国の複合機工場の閉鎖報道など買い材料視
- 2022/10/24 09:29
- 株式投資News

■NY市場で前週末21日に上げたことも好感される
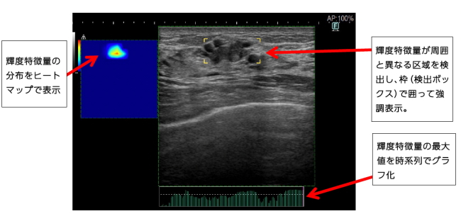
富士フイルムホールディングス(富士フイルムHD)<4901>(東証プライム)は10月24日、6900円(119円高)で始まった後も上値を追い、出直りを強めている。20日付で2本のリリース(乳腺クリニックや検診バス向けのコンパクト型デジタルマンモグラフィの11月1日発売開始、乳房超音波検査の支援機能「eScreening(イースクリーニング)」提供開始)を発表しているほか、NY市場で前週末21日に上げたこと、24日には中国の複合機工場の閉鎖が伝えられたこと、などが買い材料視されている。
乳腺検診のリリースによると、乳がんは、日本のがん統計によると、日本人女性の中で最も罹患者数が多いがんになる。超音波による乳房検査(乳房超音波検査)は、日本人に多いとされる乳腺組織の割合が高い「高濃度乳房(デンスブレスト)」でもがんを検出しやすい特長があるため、マンモグラフィ検査との併用で早期乳がんの発見率がさらに高まることが知られているという。(HC)(情報提供:日本インタビュ新聞社・株式投資情報編集部)























